Фирма МЕТОС Метод КОМОТ Применение Научная работа На главную страницу Пишите нам
Скрининг
Мониторинг
Контроль лечения
Коррекция укорочения конечности
Перспективные направления
Мониторинг состояния больных сколиозом   

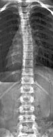
Возможность использования топографического мониторинга состояния больных сколиозом взамен рентгена была изучена на основе клинического материала школы-интерната №133 для детей больных сколиозом г.Новосибирска, где, начиная с 1995 года, проводились ежегодные обследования на ТОДП постоянного контингента больных параллельно с рентгеном. Среди больных по характеру течения заболевания выделены 3 группы: СФ - стабильная форма сколиоза, УПФ - умеренно прогрессирующая, БПФ - быстро прогрессирующая форма. Пример наблюдения больной с быстро прогрессирующей формой сколиоза приведен на рисунках ниже.

9,0 лет 10,4 лет 10,8 лет 11,4 лет 12 лет
PTI=1,0; Cobb=10° PTI=1,3; Cobb=17° PTI=1,9; Cobb=23° PTI=2,9; Cobb=38° PTI=3,6; Cobb=55°

За трехлетний период наблюдения в возрасте с 9 до 12 лет основная правосторонняя грудная дуга по углу Кобба спрогрессировала с 10 до 55°, т.е. средняя скорость прогрессирования составила 15° в год. Общий индекс нарушения формы дорсальной поверхности туловища PTI изменился с 1,0 (граница нормы и умеренно выраженных отклонений) до 3,6 (значительное отклонение). Следует обратить внимание, что в начале наблюдения туловище больной имело хороший баланс во фронтальной плоскости (вертикальная ось, проходящая через вершину межъягодичной складки, проходит также и через C7), а с возраста 10,8 лет стало явно нарастать нарушение баланса с отклонением туловища вправо, т.е. в сторону выпуклости основной дуги. Приведенный пример убедительно демонстрирует наглядность топографических данных и их большую информативность для решения задачи неинвазивного мониторинга состояния больных сколиозом.

© 2003-2026 ООО "МЕТОС"    Телефон: (383) 325-41-52, 325-41-50    E-mail: metos.org@gmail.com